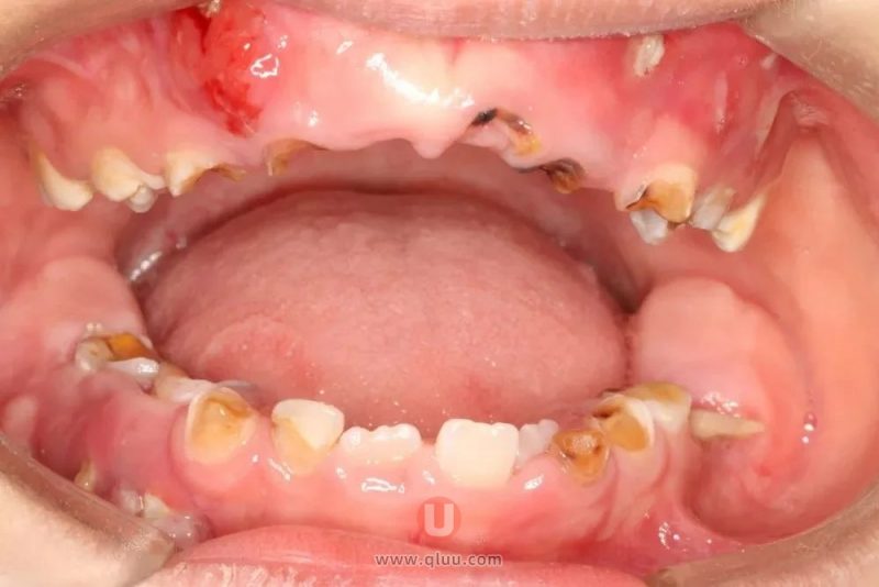
猛性龋齿(猖獗性龋齿)严重龋齿图片

猛性龋齿(猖獗性龋齿)严重龋齿图片

猛性龋又名猖獗性龋,是指多数牙在短期内同时患龋。猛性龋由于病程发展快、龋坏范围大,危害严重。猛性龋发病后能在6~12个月的较短时间内,造成全口多数牙齿同时患龋的情况,而且容易发生牙髓感染,治疗难度很大,严重时牙齿会全部掉光,堪称”全军覆没”。容易造成患者全口范围敏感,影响美观以及咀嚼功能。

本文内容源自网络仅供参考,不作为诊断医疗依据,更多查询请 → 在线咨询客服

(0)

相关推荐

  • 2024昆山种植牙多少钱一颗

    昆山种植牙:2980元起 昆山韩国DIO种植牙:2980元起 昆山韩国进口种植牙:3680元起 昆山美国进口种植牙:5980元起 昆山意大利进口种植牙:7980元起 昆山瑞士进口种…

    爱美百科 2023年8月26日
  • 为什么选医美项目医生最重要?

    医生是医美机构的基石,医生的专业技能是医美机构竞争力的核心。在医美领域,要求医生能够根据消费者的个人情况,制定个性化的治疗方案,确保治疗效果的最大化和风险的最小化。医生在医美机构中…

    2024年5月1日
  • 良心医生告诉你提眉和双眼皮怎么选

    眼皮下垂显得人很无神 做提眉术还是双眼皮好呢?对于眼皮下垂这种情况我们该怎么去改变吶,有两种方法,提眉术和割双眼皮,那么对于这两种方法哪种好呢? 1、看眉眼间距 眉眼间距指的是眉毛…

    2024年3月1日
  • 种植牙的治疗及修复步骤(配套种植牙过程示意图)

    01、术前口腔检查和常规检查 通过拍摄口腔CBCT了解缺牙部位骨头情况,骨头条件好的且全身健康的,可以马上安排种植牙手术。骨头情况不佳的,可能需要在种植手术的时候同期行植骨术或者先…

    2025年3月27日
  • 种植牙集采是不是就是种植牙医保报销

    很多人认为种植牙集采意味着种植牙可医保报销,首先大家要了解什么是医疗报销。医疗报销是指就医时对用到纳入医保的药品、诊疗项目、医疗服务进行减免和部分减免。而种植牙集采是国家和种植牙生…

    爱美百科 2023年9月19日