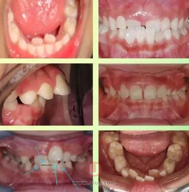
牙齿不齐真实照片 2024年7月19日 18:25 • 爱美分享 牙齿不齐,医学上称为错颌畸形。目前在中国70%以上的儿童都有不同程度的错颌畸形。据中华医学会的调查结果显示:中国青少年的错颌畸形(牙齿不齐)发病率,在乳牙期(1~5岁)为51.84%,替牙期(5~12岁)为71.21%,恒牙期(12岁+)为72.92%。 本文内容源自网络仅供参考,不作为诊断医疗依据,更多查询请 → 在线咨询客服 赞 (0) 生成海报 相关推荐 丽水种植牙口腔医院排名榜前十名单2024私立版 2024年丽水种植牙集采政策正式落地,看牙价格大降!应丽水网友们的要求,悠悠给大家更新一批丽水正规种牙实惠又技术不错的公立私立牙科,之前推荐过好几批了,这次再整理出10家,序号仅为… 爱美分享 2023年9月10日 肥城种植牙口腔医院排名榜前十名单2024私立版 2024年肥城种植牙集采政策正式落地,看牙价格大降!应肥城网友们的要求,悠悠给大家更新一批肥城正规种牙实惠又技术不错的公立私立牙科,之前推荐过好几批了,这次再整理出8家,序号仅为整… 爱美分享 2023年9月5日 爱美分享 北京私立口腔全新价格表出炉:洗牙78元起、种植牙3980元起 2024年北京看牙收费贵不贵?为此老谭特地整理了一份北京某民办口腔医院的收费价格参考如下,想了解的牙科项目大都包含在内,供大家参考对比。 【种植牙价格表】 登腾全瓷种植3980元左… 2024年5月20日 丽江种植牙口腔医院排名榜前十名单2024私立版 2024年丽江种植牙集采政策正式落地,看牙价格大降!应丽江网友们的要求,悠悠给大家更新一批丽江正规种牙实惠又技术不错的公立私立牙科,之前推荐过好几批了,这次再整理出10家,序号仅为… 爱美分享 2023年9月9日 爱美分享 2024年湖北种植牙医院TOP10:技术与服务的双重保障 随着人们对口腔健康重视程度的提高,种植牙技术逐渐成为修复缺失牙齿的首选方案。在湖北省,众多口腔医院以其专业技术和优质服务,为患者提供了高质量的种植牙服务。本文将为您介绍湖北省内十大… 2024年6月19日