



在决定接受烤瓷牙治疗之前,务必深思熟虑,充分了解烤瓷牙并非万能解决方案,其应用需谨慎,针对特定问题方能发挥最佳效果。
切勿认为安装烤瓷牙后便能一劳永逸,特别是对于早年接受过烤瓷牙治疗的朋友而言,由于当时多采用金属内冠材料,且技术或许尚未成熟,使用过程中难免会遇到一些问题。
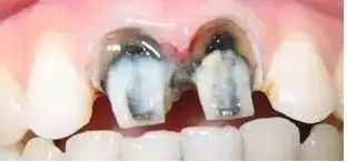
一旦您的烤瓷牙出现以下任一症状,切勿迟疑,应迅速前往专业的口腔医疗机构进行检查与拆除。
面对烤瓷牙可能出现的问题,及时就医并尽快更换是明智之举。在医生的专业技艺得到保证的前提下,全瓷牙无疑是一个值得推荐的选项,其具备出色的美观与耐用性。
本文内容源自网络仅供参考,不作为诊断医疗依据,更多查询请 → 在线咨询客服
