
1、轻度脱矿(可逆阶段)
牙齿表面出现白垩色斑点或斑块(不透明的白色区域),无明显粗糙感,无疼痛或敏感。
✅改善饮食习惯,减少高糖、酸性食物的摄入,加强口腔卫生,使用含氟牙膏每日刷牙2次,配合牙线或水牙线清除邻面菌斑,保证清洁到位。
✅到医院进行局部涂氟治疗(每年1-2次),增强牙齿的抗酸性,加速再矿化,封闭早期脱矿微孔。

2、中度脱矿(临界阶段)
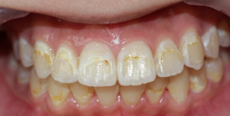
白斑颜色加深,可能变为浅黄色或棕色,牙齿表面明显粗糙,可能出现细小凹陷,对冷热刺激可能轻微敏感。
✅在医生指导下使用护牙素局部涂抹于脱矿区域,帮助补充矿物质。
✅到医院进行治疗,医生会通过低粘度树脂渗透并封闭微孔,阻止进一步脱矿,同时改善外观。

3、重度脱矿(不可逆阶段)
脱矿区呈黄褐色或深棕色,边界清晰,表面出现肉眼可见的凹陷或坑洞,冷热酸甜刺激引发明显疼痛,咀嚼时可能不适。
✅此时的牙齿已经无法在恢复到正常的状态了,可采用贴面修复或全冠修复来恢复牙齿的美观和功能。

牙齿脱矿的发展是一个渐进过程,早期的斑驳与粗糙正是牙齿在求救。通过建立科学的口腔护理习惯、阻断致病因、主动促进再矿化,我们完全可以在萌芽阶段遏制损伤。
本文内容源自网络仅供参考,不作为诊断医疗依据,更多查询请 → 在线咨询客服
